Blog

CCP ‘Silent Storm’: Intel Expert Warns America Is Already Under Attack

By 0 Comments

The Chinese regime’s influence operations are already deeply embedded within Western institutions, from academia and media to critical infrastructure and supply chains. BY LIBERTY SENTINEL STAFF

Read Full

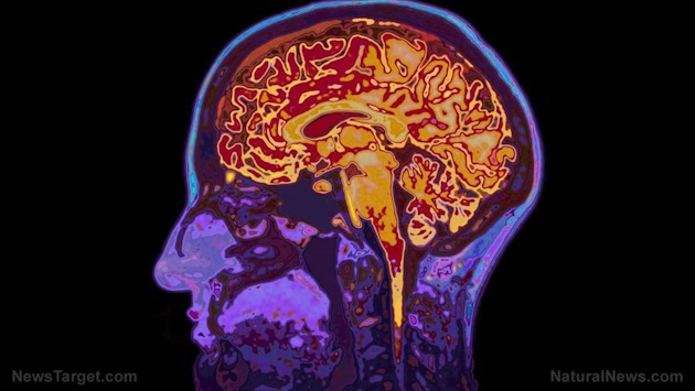
Silent brain inflammation linked to dementia risk, diet and lifestyle offer key defense

By 0 Comments

Diet is a primary weapon in this fight. Three foods stand out for their brain-boosting properties: turmeric, walnuts, and cinnamon. - BY CASSIE B.

Read Full

Is America on the verge of a nuclear renaissance?

By 0 Comments

The first-of-its-kind facility, located at Idaho National Laboratory (INL), will enable the rapid development, testing, and demonstration of privately developed advanced nuclear reactors. - BY DUGGAN FLANAKIN

Read Full

Opening Pandora’s Box? The Truth About an Article V Convention with Judi Caler

By 0 Comments

Who's really driving the movement, how it’s being sold to lawmakers and there may be no limits, including changes to the Constitution itself. - BY TOM DEWEESE, AND JUDI CALER

Read Full

Captain Seth Keshel, Dr. Doug Frank and Professor David Clements to Speak on Sat. April 18th at Kootenai County Fairgrounds

By 0 Comments

The enemies of our freedom hope we do not cry out. That way we remain, slaves as we lick the hand that hands us our morsels... - BY ROB CHASE

Read Full

Little Big Tent

By 0 Comments

Critics say the GOP needs to be a “big tent” accepting all viewpoints, and efforts exposing Democrats posing as Republicans is a purity test to abolish. - BY BRENT

Read Full

Real Legislative Wins for Idahoans

By 0 Comments

This legislative session, the Idaho Freedom Caucus members delivered real results for Idaho families. - BY IDAHO FREEDOM CAUCUS

Read Full

Public workers’ First Amendment rights are getting attention — in Idaho, not Washington

By 0 Comments

Washington state’s legislative majority has shown far more interest in accommodating unions than in making sure workers clearly understand their rights. - BY ELIZABETH NEW

Read Full

Trump Scores Win Over Boasberg in Deportation Case

By 0 Comments

Boasberg held the Trump administration in contempt when it didn't comply with his order to turn around planes carrying deported illegal aliens from Venezuela to El Salvador. BY FRED

Read Full

AI and the Cashless Society: Freedom or Slavery?

By 0 Comments

This will be one of the most important fights for the cause of freedom you and I will ever wage! - BY TOM DEWEESE

Read Full

From brain fog to palpitations: The six warning signs you’re taking too many vitamins

By 0 Comments

True health literacy means understanding that even beneficial substances have thresholds, and that blindly chasing nutritional "insurance" through megadoses can paradoxically undermine the vitality we seek. - BY CASSIE B.

Read Full

Law Enforcers or Law Makers?

By 0 Comments

I fear that an adversarial relationship is developing between those elected to make the law and those elected to enforce it. - BY BRIAN ALMON

Read Full

Lewis & Clark College, Portland, Oregon Training Antifa Terrorists

By 0 Comments

Will the federal government investigate and prosecute Portland;s Lewis and Clark College for aiding & abetting these domestic terrorist organizations? - BY DIANE GRUBER

Read Full

Finally, Crime Stats You Can See on a County Website

By 0 Comments

Is crime rising, falling or remaining flat? What is the average response time? These are basic questions that (when asked) you should have answers... - BY BRUCE MATTARE

Read Full

Automatic Draft Registration Set to Begin in December

By 0 Comments

By December, eligible American men will no longer need to register for the draft themselves. The government will do it for them. - BY VERONIIKA KYRYLENKO

Read Full

Trump Cabinet Members Attend Secret Bilderberg Meeting to Discuss AI, War

By 0 Comments

Contrary to their public claims, the group discusses global plans for “progress” and the rapid advancement of the New World Order. - BY ANDREW MULLER

Read Full

The Path to Real Tax Reform Requires a Spending Limit In Washington State

By 0 Comments

Real tax reform demands tradeoffs, and those tradeoffs require a fiscal environment where avoiding them is not an option. - BY RYAN FROST

Read Full

Idaho’s Budget Grew 2.5% Despite the Cuts, because of Welfare Spending

By 0 Comments

The next session will be a challenging one for the incoming Legislature for two key reasons: the welfare state wasn't tamed, and ongoing cuts were insufficient. - BY FRED BIRNBAUIM

Read Full

Wisdom of the Committee

By 0 Comments

While you may be the smartest person in-the-room, you're not smarter than the collective intelligence in the room. Properly guided, this is the power of committees. - BY BRENT REGAN

Read Full

The silent Gauss gun and China’s electromagnetic bid to dominate future wars

By 0 Comments

The age of the gunpowder firearm is not ending with a bang. It is ending with a whisper and a microwave pulse. - BY LANCE D. JOHNSON

Read Full

Trump’s ‘Billion-Dollar Giveaway’ Actually A Refund To Kill Costly Offshore Wind

By 0 Comments

This isn't corporate welfare. It's a refund of money already paid, exchanged for killing two expensive, unreliable projects before they could burden American ratepayers. - BY FRANK LASEE

Read Full

British economic control over the globe is now exposed by this President

By 0 Comments

When the President stresses MAGA, it's axiomatic that disengagement of Lloyds, the subsets, the UN, Bretton Woods, the Alger Hiss’s of the World, is the effort. - BY KATHLEEN MAQUARDT

Read Full

Sine Die 2026

By 0 Comments

Several bills remain on the governor’s desk, and if he vetoes them, the Legislature will be unable to attempt an override. - BY BRIAN ALMON

Read Full

Pentagon seeks new Arctic bases in Greenland amid Russian, Chinese activity

By 0 Comments

The move signifies a concrete step to bolster American defense posture in the High North, leveraging a decades-old agreement to potentially reactivate former U.S. installations. - CASSIE B.

Read Full

Recommended Candidates for the May 19 Primary

By 0 Comments

The KCRCC strongly encourages voters to take advantage of opportunities to become better informed about their choices in this election. Good decisions require good information. BY BRENT REGAN

Read Full

MN Rep. Moves to Impeach Gov. Walz, AG Ellison. Calls for Christians in Politics

By 0 Comments

As Minnesota reels from massive fraud scandals and mounting calls for accountability, one state lawmaker is pointing to a deeper crisis— a theological retreat. -BY ANDREW MULLER

Read Full

The One Thing Missing From President Trump’s Powerful Primetime Address on Operation Epic Fury

By 0 Comments

Defeating and replacing the ideology of Wilayat al-Faqih is a necessary condition of “winning” the war and achieving a lasting peace with a new Iran. - BY GEORGE RASLEY

Read Full

Cesar Chavez – A Saul Alinsky-Trained Thug Gets His Due

By 0 Comments

Sometimes it may take many years, but finally the lies are exposed, the halos crash to the ground and vindication is awarded to the truth tellers. - BY TOM

Read Full

No Kings is about chaos and communism, not the Constitution

By 0 Comments

Remember the “No Kings” lunatics this November and vote out every Democrat to save our Constitutional Republic. - BY PETE RIEHM

Read Full

Washington’s CO2 tax declines slightly but is still 52 cents per gallon

By 0 Comments

Washington has the highest tax on CO2 emissions in North America. California’s CO2 price is $27.94. Washington's increased 31%, from $50 in March to $65.26 today. - BY TODD MYERS

Read Full

Canada Poised to Declare Quoting the Bible a Hate Crime

By 0 Comments

“If Bill C-9 passes, people could be criminally charged just for reading certain passages of scripture,” Conservative MP Garnett Genuis warned Tuesday. - BY MICHAEL TENNENT

Read Full

Judicial Watch’s Historic Day at the Supreme Court

By 0 Comments

There's no historic foundation for counting ballots arriving after Election Day, JW notes, the opportunities for fraud are endless, and public confidence in elections is eroded. - BY JUDICIAL WATCH

Read Full

AI and the Cashless Society: Freedom or Slavery?

By 0 Comments

President Trump is being heavily pressured by powerful forces...to enforce the cashless society. Let him know the American people are opposed. - BY TOM DEWEESE

Read Full

Texas Taxpayers Now Funding Islamic Schools

By 0 Comments

The inclusion of Islamic institutions is prompting criticism of the state’s government-funded “school choice” model and some self-reflection by advocates of the program. - BY ALEX NEWMAN

Read Full

James Woods on Barack Obama, The Trojan Horse

By 0 Comments

Is it true Barack Obama’s administration funded terror by the Iranian government? Conservative activist and actor James Woods calls Barack Obama the Trojan Horse. You decide. - BY M DOWLING

Read Full

Trump Tariffs Prove Effective: Study Shows $85 Billion Revenue Boost, Reduced China Dependence, with Minimal GDP Impact

By 0 Comments

According to the research, the tariffs successfully achieved two primary objectives: raising government revenue and shifting U.S. import patterns away from China. - BY GARRISON VANCE

Read Full